At Smile Avenue Dental Clinic in Beirut, we provide comprehensive general dentistry treatments designed to maintain your oral health, prevent future problems, and restore your smile. From routine teeth cleaning to advanced treatments like root canal therapy and aesthetic corrections, our approach focuses on early detection, precision, and long-term results.
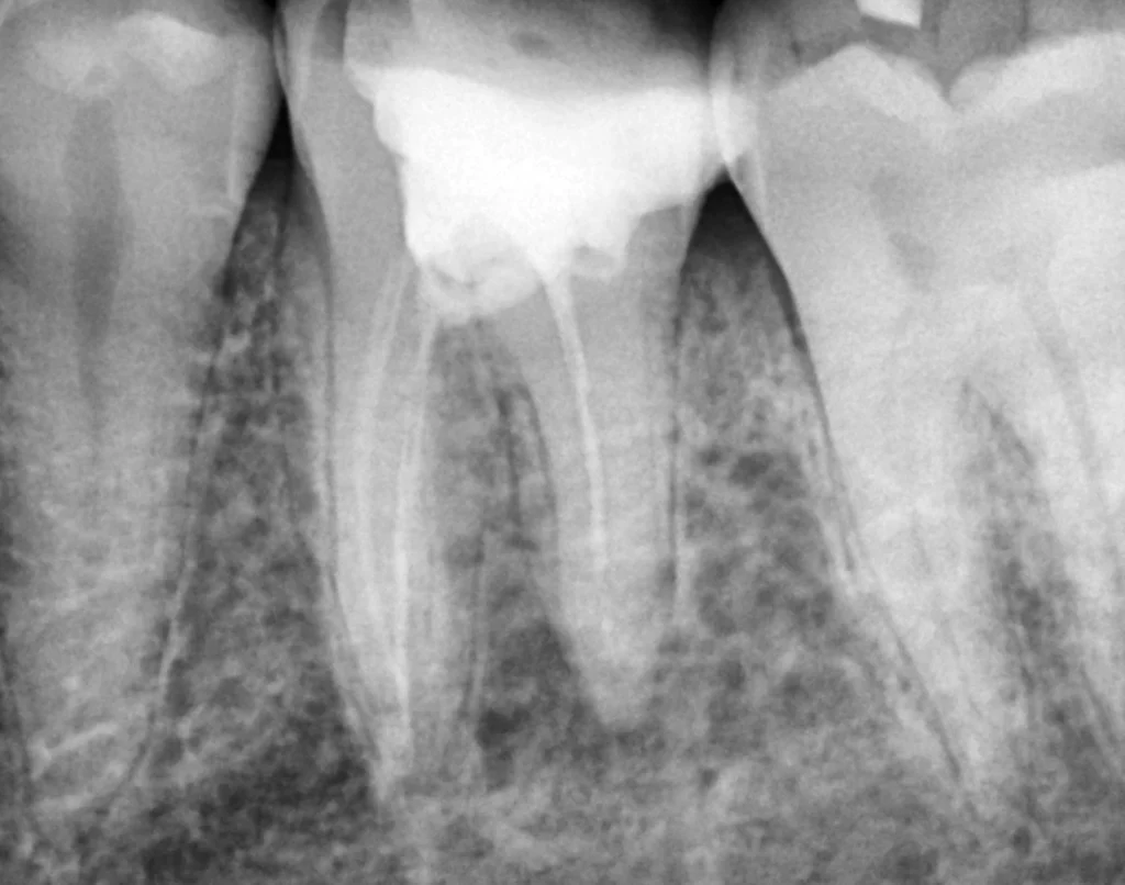
Root Canal Therapy in Beirut
Save your natural tooth and eliminate pain with advanced root canal treatment.
Root canal therapy is a highly effective procedure used to treat infected or damaged teeth.
At Smile Avenue, we use modern techniques to remove infection, relieve pain immediately, and preserve your tooth structure whenever possible. This treatment is often the best alternative to extraction and allows you to keep your natural smile for many years.
Composite Bonding in Beirut
A simple, fast, and natural solution to improve your smile in one visit.
Composite bonding is a minimally invasive cosmetic treatment used to repair chipped teeth, close gaps, and improve shape and color. Using high-quality materials and precise techniques, we can restore your teeth in a single session with results that blend seamlessly with your natural smile.
White Spots Treatment in Beirut
Restore a uniform, natural tooth color without damaging your enamel.
White spot treatment (ICON infiltration) is a modern, minimally invasive solution to eliminate white stains caused by braces or enamel defects. This painless procedure blends the color of your teeth without drilling, helping you achieve a more aesthetic and balanced smile in just one session.
Teeth Cleaning in Beirut
Maintain healthy gums and a bright smile with professional dental cleaning.
Teeth cleaning is an essential preventive treatment that removes plaque, tartar, and stains that cannot be eliminated by brushing alone. At Smile Avenue, we focus on gentle, thorough cleaning while identifying early signs of dental problems to keep your mouth healthy and fresh.
Why General Dentistry Matters
General dentistry is not only about treating problems — it’s about preventing them. Regular check-ups and early diagnosis allow us to detect issues before they become painful or complex, saving you time, discomfort, and cost.
At Smile Avenue, we focus on:
- Prevention and early detection
- Minimally invasive treatments
- Long-term oral health stability
Who Needs General Dentistry?
- Patients with tooth pain or sensitivity
- People who want regular dental check-ups
- Patients with stains, tartar, or bad breath
- Anyone looking to maintain a healthy, confident smile
Why Choose Smile Avenue in Beirut?
- Modern clinic with advanced dental technologies
- Expertise in both functional and aesthetic dentistry
- Gentle, patient-centered approach
- Focus on preserving natural teeth whenever possible
- Accurate diagnosis using magnification (loupes) and photography
Frequently Asked Questions About General Dentistry in Beirut
How often should I visit the dentist?
It is recommended to visit the dentist every 6 months for a routine check-up and professional cleaning. In some cases, depending on your oral health, visits may be spaced up to once per year. Regular check-ups help detect problems early and prevent more complex treatments.
Is teeth cleaning necessary if I brush daily?
Yes. Even with good brushing and flossing, plaque can harden into tartar, which cannot be removed at home. Professional teeth cleaning eliminates tartar, stains, and bacteria, helping prevent gum disease, bad breath, and tooth decay.
What is the most common general dentistry treatment?
Teeth cleaning is the most common treatment, followed by fillings and root canal therapy. These procedures aim to maintain oral health, treat decay, and preserve natural teeth.
Is general dentistry painful?
Most general dentistry procedures are not painful. Treatments like teeth cleaning and composite bonding are typically comfortable, and when needed, local anesthesia is used to ensure a pain-free experience.
Can dental problems be prevented?
Yes. The majority of dental problems can be prevented with regular dental visits, good oral hygiene, and early intervention. Preventive care is a key part of general dentistry and helps avoid more complex and costly treatments.
When do I need a root canal treatment?
You may need a root canal if you experience severe tooth pain, sensitivity to hot or cold, swelling, or pain that appears spontaneously, especially at night. This treatment removes infection and saves the natural tooth.
How do I know if I need professional dental care?
If you notice symptoms such as tooth pain, bleeding gums, bad breath, discoloration, or sensitivity, it is important to consult a dentist. Even without symptoms, regular check-ups are essential to maintain oral health.
Can general dentistry improve the appearance of my smile?
Yes. Treatments like teeth cleaning, composite bonding, and white spot removal can significantly improve the color, shape, and overall appearance of your smile while maintaining a natural look.
