White spots on teeth can make your smile look uneven, even if your teeth are healthy. Many patients feel self-conscious, especially after braces or when spots become more visible over time.
At Smile Avenue Dental Clinic in Beirut, we treat white spots using minimally invasive techniques that preserve your natural enamel and deliver natural, invisible results, often in just one session.
What Are White Spots on Teeth?
White spots on teeth can make your smile look uneven, even if your teeth are healthy. Many patients feel self-conscious, especially after braces or when spots become more visible over time.
At Smile Avenue Dental Clinic in Beirut, we treat white spots using minimally invasive techniques that preserve your natural enamel and deliver natural, invisible results—often in just one session.
Who Is This Treatment For?
White spot treatment is ideal for patients who:
- Notice white or chalky spots on their teeth
- Have spots that appeared after braces
- Feel their smile looks uneven or patchy
- Want a solution that is conservative and non-invasive
- Prefer natural results without drilling the tooth
How Do We Treat White Spots? (Step-by-Step)
Our approach is precise, minimally invasive, and based on your specific case:
- Diagnosis & Evaluation
We examine the teeth using loupes and clinical photography to identify the cause and depth of the spots. - Treatment Selection
- Brown spots → microabrasion + whitening
- White spots → usually ICON resin infiltration
- ICON Treatment Procedure
- Gentle enamel etching
- Rinsing and repetition for optimal penetration
- Application of a special solution to test effectiveness
- Resin infiltration into the lesion
- Final polishing for a natural finish
- If Needed (Advanced Cases)
In deeper cases, a very minimal enamel adjustment may be done before continuing treatment—always conservatively. When the defect cannot be fully corrected with infiltration, we may recommend veneers for a perfect smile to achieve a uniform and natural result.
The entire procedure is usually completed in one session
Benefits of White Spot Treatment
- ✅ No drilling in most cases
- ✅ No anesthesia needed
- ✅ Pain-free procedure
- ✅ Preserves natural enamel
- ✅ Immediate visible improvement
- ✅ Long-lasting (does not come back)
- ✅ Natural, invisible result
Patient Concerns – Answered
Is it painful?
Not at all. The treatment is completely pain-free and does not require anesthesia.
Will the white spots come back?
No. Once treated properly, the result is stable and long-lasting.
Will I feel sensitivity?
No. The procedure is designed to avoid sensitivity.
Is it harmful to the teeth?
Not at all. In fact, this treatment is specifically designed to avoid damaging the enamel.
How many sessions do I need?
In most cases, only one session is enough.
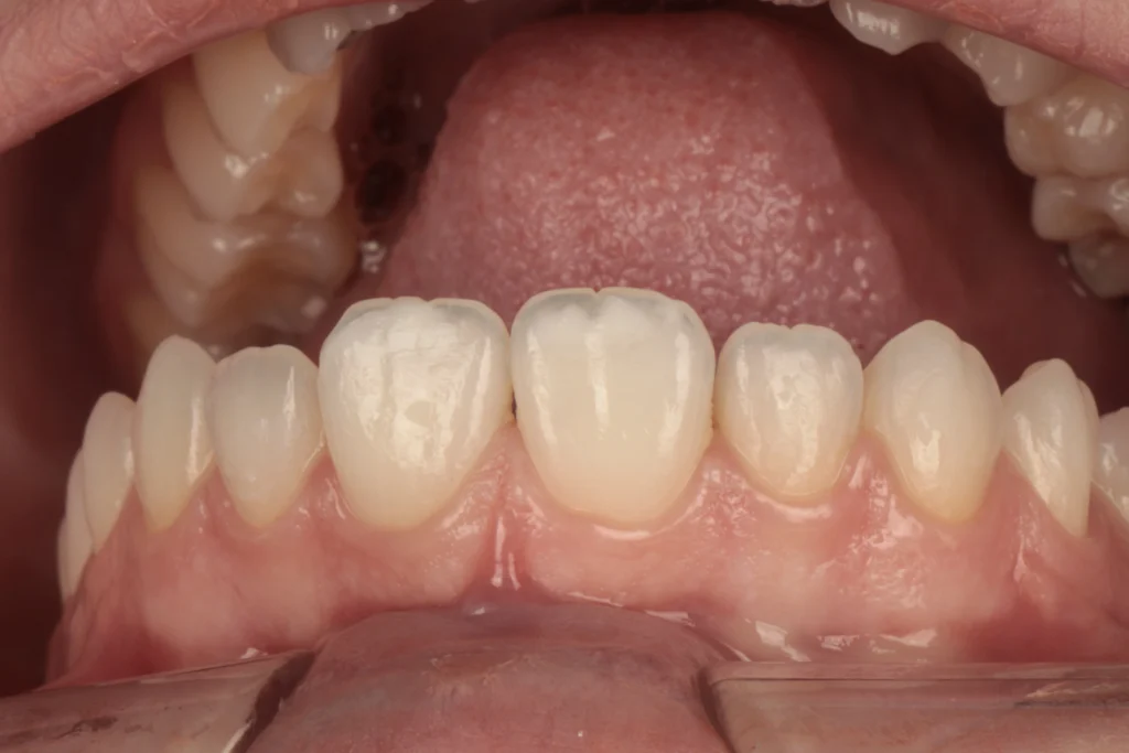
A Real Patient Example
A patient came to us with multiple white spots on her upper front teeth, which became more visible after orthodontic treatment. She felt her smile looked uneven and wanted a natural solution.
We treated her using ICON resin infiltration.
The white spots disappeared completely, and the final result blended perfectly with her natural teeth.
Her reaction? A confident smile she was proud to show again.
Why Choose Smile Avenue Dental Clinic?
At Smile Avenue, white spot treatment is not just a procedure—it’s a precision-based esthetic approach:
- 🔬 Use of loupes and DSLR photography for detailed analysis
- 🎯 Advanced ICON infiltration techniques
- 🧠 Specialized training and clinical experience in this treatment
- ⏳ Patience and precision—taking the time needed for perfect results
- 🦷 Minimally invasive philosophy focused on preserving enamel
We don’t rush the process—because great esthetics require precision and experience.
If you’re bothered by white spots on your teeth, the solution may be simpler than you think.
Let us help you achieve a clean, uniform, and natural smile without damaging your teeth.
